こんにちは!
デンタルケアオフィス クラルテ 流山おおたかの森です!
2025年10月・11月に開催の「ご家族・ご友人紹介キャンペーン」についてのご案内です。
今回は以前のキャンペーンで大好評だった「メタルフリー治療が0円」企画も復活!
是非この機会にご家族・ご友人をお誘いあわせの上クラルテにいらっしゃってください!
【キャンペーン概要】
対象者:10月・11月に1名以上のご紹介をいただいた方・紹介された側の双方
条件:紹介された側が期間中に当院にて検診・クリーニングまたは何かしらの治療を受けられた場合
特典:
①ホワイトニング35000円→10000円
②メタルフリー治療(銀の詰め物をプレミアムCRに置き換え)が1か所0円
上記2種類からどちらかを選択。
*口腔状況によっては適応できない場合がございます。あらかじめご了承ください。

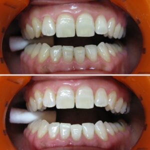
前回の施術例
【ホワイトニング】


【メタルフリー治療】


前回同様ご予約枠が早めに埋まってしまう場合もございますので、
ご検討中の方はお早めにご連絡お待ちしております。
当院HPはこちら
ご予約はこちら