こんにちは🌷
デンタルケアオフィスクラルテです!
皆さんいかがお過ごしでしょうか?(#^^#)
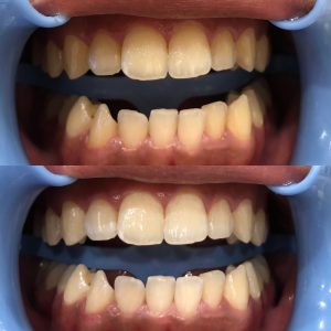
最近、ホワイトニング件数が増加しています⇈⇈(>_<)
クラルテでは「色の後戻り防止」「ムラのない仕上がり」のために必ず2回目のホワイトニング施術を行います!
2回目はなんと無料で施術が可能!
「ホワイトニングをしたけどすぐに色戻りしてしまうか心配・・・」
「2回もホワイトニングする費用が無い・・・」
という方に大変おすすめのプランです!
【オフィスホワイトニング】院内施術
・前歯3番目〜3番目(計12本):30,000円(税込)
・4番目(第一小臼歯)まで(計16本):35,000(税込)*オススメ
・5番目(第二小臼歯)まで(計20本):40,000(税込)
☆★上記の金額は、ホワイトニング2回目無料です♪(初回のみ)
☆★検診時6か月以内にクリーニングまたはホワイトニングをご予約いただけますと、ホワイトニングが1回1万円で受けていただけます!
ただし、6か月以上経過してしまいますと、初回の金額でのご案内になりますのであらかじめご了承下さい。
相談無料!
即日での施術も可能ですので、お気軽に当院ウェブ予約ページかお電話でご予約ください!
施術時間は初回90分です!(カウンセリング時間含む)
ウェブ予約→webでホワイトニング予約はこちら
【ホームホワイトニング】自宅で手軽に♪
・前歯3番目〜3番目(計12本):30,000円(税込)
・4番目(第一小臼歯)まで(計16本):35,000(税込)*オススメ
・5番目(第二小臼歯)まで(計20本):40,000(税込)
上下マウスピース作成費込み
ホームホワイトニング用ジェル1本/3000円(追加する場合)
興味のある方は気軽にご相談ください🌼

webでホワイトニング予約はこちら
ご予約はウェブで簡単
→https://apo-toolboxes.stransa.co.jp/user/web/39e14b51c06e81f46149fdb3ddc5f307/reservations
当院のHP
→https://www.dcoc.jp/